中山デンタルクリニックの入れ歯は、
BPSデンチャーシステムを採用しています。
BPSデンチャーシステムを採用しています。

BPSデンチャーとは私達歯科医師と歯科技工士の綿密な連携で製作する「フルオーダーメイド」の入れ歯(義歯)です。
入れ歯専門の歯科技工士の立会いのもと、直接その場で相談しながら何度も調整を行い、粘膜やお口の状態、顎や筋肉の動き、噛み合わせ、発音、その他のバランスなどを確認しながら製作を進めて行きます現在、世界のスタンダードになりつつある、高い信頼と品質を持ち合わせた義歯製作システムです。
院長はBPSデンチャーの認定医であるBPSデンティストですので、安心してご相談下さい。

- 非常に精密な入れ歯製作がシステム化されていますので、常に高い品質でお届けします。
- 歯科医師のチェックと歯科技工士のチェックという、それぞれの専門分野を生かした上での綿密な情報交換により、患者様のご希望を出来る限り反映した入れ歯を作成します。
- 食事や会話、歌などの趣味を
もっと楽しみたい方

- 今お使いの入れ歯に
ご不満のある方

- インプラント治療には
抵抗のある方

お気軽にお問い合わせください!
中山デンタルクリニック
1回目の来院
顎と骨の状態を確認
専用トレーで口腔内の中心位置を正確に採得。
顎と骨の状態を確認
専用トレーで口腔内の中心位置を正確に採得。
2回目の来院
個人トレーで最終的な採得を行います。
検査、計測を徹底的に行います。
個人トレーで最終的な採得を行います。
検査、計測を徹底的に行います。
3回目の来院
患者様に実際に装着して頂き、噛み合わせや装着感、審美性等を確認します。
患者様に実際に装着して頂き、噛み合わせや装着感、審美性等を確認します。
4回目の来院
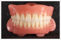
最終完成した入れ歯を装着して完成です。
最終完成した入れ歯を装着して完成です。
歯科技工所
今後の治療計画の為の製作。
採得したトレーから、精密な型取りの為の個人トレーを制作。
採得したトレーから、精密な型取りの為の個人トレーを制作。
最終型から、実際に使用する入れ歯を製作します。
歯科用ワックス(蝋)で、ほぼ完成に近い状態まで持っていきます。
歯科用ワックス(蝋)で、ほぼ完成に近い状態まで持っていきます。
最終的な微調整。
最終の入れ歯を本製作します。
最終の入れ歯を本製作します。
※価格はすべて税込みです。
- コバルトクロム床

¥367,500 - ゴールド床

¥525,000 - BPS

¥420,000





