PMTCご存知ですか?

従来から、歯肉と歯の間を歯ブラシや歯間ブラシ等でケアすることで、歯周病の予防ができると考えられてきましたが、日頃のメンテナンスに加え、歯科医での専門的なPMTCを行うことが大切になっています。
歯医者さんの待合室やホームページでPMTCといった言葉をときどき目にすることはありませんか?
PMTCという歯のエステ

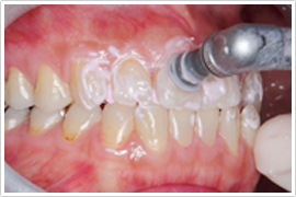
PMTCとは、専門的機械的歯面清掃という、歯科医師や歯科衛生士が行う処置の名称です。
日頃、歯ブラシや歯間ブラシなどで綺麗にしているはずの方も、柔らかく痛みを伴わないゴムやブラシなどの専用の器具により、歯周ポケットの中の歯根部分の汚れを除去することができます。歯科での治療と言うと、歯石を取るときのようにに痛みがあるものを連想させますが、大変心地よいと評判です。

歯に特別問題(痛い、虫歯がある等)があるわけでもないものの、お口の中のクリーニングをしてみたいという患者様。
歯周病治療により、歯石等が取り除いてある患者様はスムーズに、歯科医師、歯科衛生士によるPMTCへ移行していただけます。
現在、歯列矯正をなさっておられる患者様の、口腔内の衛生を適切に保ちます。
(矯正中は、矯正装置により歯の汚れをしっかりと落とすことが難しいため。)
抜けてしまった歯の両隣の歯を削って、土台とするブリッジをされている患者様にとっても、PMTCは普段はご自身では磨けない細部までクリーニングできるためオススメできます。

スケーラー等を使って除去する歯石と違い、柔らかいゴムやブラシで行うPMTCは痛みも伴わず、非常に爽快感たっぷりです。
表面がの汚れなどが綺麗になり、専門家による丁寧なクリーニングのため、歯の審美性が高まります。
日常のブラッシング(歯磨き)では、除去しきれない虫歯の原因菌を落とします。
歯周病の原因となる、バイオフィルム(細菌の集合体)を取り除きます。
歯の表面を綺麗にしたら、フッ素を塗布して、歯を丈夫にします。

専用の染め出し剤を使うことで、磨き残した部分がわかります。
なかなか自分自身では磨き残しのない完璧な歯磨きは難しいので、染め出し結果を参考にして歯磨き指導を受けます。

普段のブラッシングでは除去できない、ステイン(着色汚れ)や汚れを、専用の微粒子研磨ペーストを使用して取り除きます。
専用の回転ブラシやカップで歯の表面、根本から綺麗にします。
歯間の汚れも専用の特殊な形状のちップやフロス等でキレイにします。
エアー(空気)や水等で研磨に使った研磨剤の洗い流しを行います。

虫歯予防に効果的なフッ素を歯の表面に塗布して、歯を強くします。
たった5ステップで、非常にシンプルな流れであることがわかると思います。
毎日、ご自身で洗顔をするのに加えて、時折、エステサロンでフェイシャルエステを受けるような気軽な感覚で、患者様自身では取り除くことができないような汚れ、磨き残しをしてしまう箇所をキレイに専門家の手によりクリーニングするという作業になります。

| ホワイトニング(ホーム) | 片側:¥31,500 |
|---|---|
| PMTC | 全歯 :¥5,500
前歯部:¥3,000 |







